まつ毛の育毛薬

成分であるビマトプロストは、本来、緑内障治療薬として米国アラガン社で開発された薬剤です。世界で初めて「まつ毛の治療薬」として、アメリカのFDA(日本の厚生労働省にあたる機関)にて認可され、効能・効果・安全性が認められています。
まつ毛を長くしたい・ボリュームを増やしたい方、パーマ・エクステ等でまつげが傷んでしまった方、エクステを継続するのが大変な方にお勧めの治療薬です。メイクなしでも魅力的な目元を実現します。
8週間でほとんどの方に効果が現れ、16週間で最大の効果となります。効果を持続させるには、継続して使う必要があります。使用を中止すると数カ月かけて元のまつ毛に戻っていきます。
ラティース(LATISSE、ラティッセ)がアメリカで、グラッシュビスタが日本で販売されているまつ毛の育毛剤になりますが、同成分・同濃度の液剤を塗布することで同様の効果が得られます。
格安で提供出来ますので当院ではこの薬剤を採用しています。
料金
初診料 |
3,300円 |
---|---|
再診料 |
1,100円 |
薬剤料 |
2.5ml 約2ヶ月分 8,250円(塗布用の筆付き) |
※表示価格は税込です。
※クレジットカードが使用できます。
症例写真
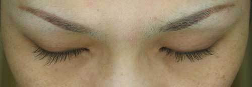
モニターさんの治療経過です。
症例1

治療開始前
薬剤料(約2ヶ月分):8,250円(税込・自費診療)

4週目

8週目

16週目
症例2

治療開始前
薬剤料(約2ヶ月分):8,250円(税込・自費診療)

4週目

8週目

16週目
合併症・副作用
- まれに「かゆみ」「充血」「目の乾き」「まぶたの黒ずみ」「違和感」などが報告されています。目の下の頬骨の皮膚の産毛が濃くなることがあります。その他、ご不明な点は医師にご相談ください。
- 下まぶたは皮膚が薄い為、色素沈着を起こす可能性があります。
Q&A
Q. 効果は100%ですか?
A. アメリカで行われた臨床試験では、16週間の使用で78%の方に十分な効果が確認されています。当院のスタッフ3人が使用していますが、3人とも十分な効果が得られています。
Q. 成分は?
A. 有効成分:ビマトプロスト(Bimatoprost)
ラティースLATISSE、グラッシュビスタと同濃度0.03%のビマトプロストを含有。
その他の成分:ベンザルコニウム塩化物、塩化ナトリウム、 リン酸水素ナトリウム水和物、クエン酸水和物、塩酸、水酸化ナトリウム
Q. どれくらいで効果が実感できますか?
A. 自覚的には4週間で、他覚的にも8週間で効果がわかります。
Q. 使い方は?
A. 毎晩(1日1回)、上まつ毛の根元に筆で塗布します。詳しくは処方時に説明いたします。
Q. コンタクトレンズはつけたままでOKですか?
A. コンタクトレンズは外してご使用ください。塗布15分後に再装着が可能です。
Q. 下まつ毛にも使用できますか?
A. 下まぶたは皮膚が薄いため、薬液が付き過ぎると色素沈着を起こす可能性があります。上まぶたに薬剤を塗布後、まばたきをすることで下まぶたにも適量がつきますので下まぶたに塗布する必要はありません。
Q. 塗り忘れてしまった時は、どうしたらよいですか?
A. もし使用を忘れてしまった場合、翌朝に塗布することはせずに、その日の晩に通常の使用量を塗布してください。
Q. アイメイクやまつ毛パーマ、エクステは可能ですか?
A. アイシャドウやマスカラなどは、塗布15分後に可能です。
まつ毛パーマは、パーマ液を十分に洗い流してからご使用ください。
エクステンションは、まつ毛の根元への成分の浸透を妨げてしまいますので、控えていただいた方が、より効果を実感していただけます。